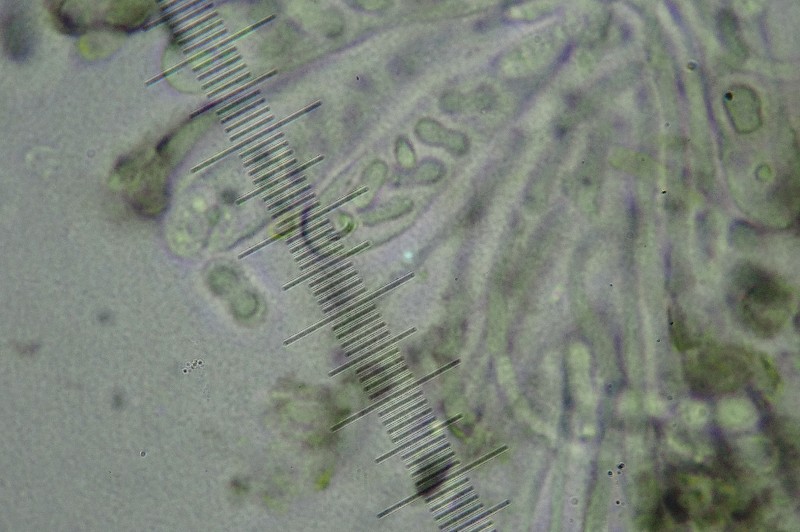
Observation n° 462801 Fuscidea lightfootii

Informations

Donnée considérée certaine, très probable

Source de la donnée : Terrain
Type de donnée : Publique

Date : 20/09/2025

Date de saisie : 23/11/2025

Localisation

Souvigné (37)

Observateur(s) (AFL)

avatar Marie-Claude DERRIEN

Détail de l'observation

Naturalité : Sauvage
- Indéterminé (Espèce présente)
Etat biologique : Observé vivant
Contact : Vu
Prospection : A vue
Statut biologique : Non renseigné
Comportement : Non renseigné
Déterminateur : Marie-Claude DERRIEN
Remarque : Sur branche de chêne au sol.

UUID SINP : 69e419b4-fa35-457a-b926-5bb0ebdf4755

Photo(s)


Facebook Linkedin email